Cientistas norte-americanos criaram culturas de células estaminais humanas sem precisarem de destruir embriões. A técnica, descrita na edição online da revista "Nature", é inspirada no diagnóstico de pré-implantação, usado para escolher embriões criados através de fertilização in vitro livres de doenças genéticas. Com este avanço poder-se-á obter células estaminais com menos problemas éticos.
A equipa de Robert Lanza, da empresa Advanced Cell Technology (Massachusetts, EUA), já tinha conseguido fazer isto com células de ratinhos, no ano passado. Agora, conseguiu criar duas culturas de células estaminais embrionárias humanas, usando células colhidas em 16 embriões que sobravam de tratamentos de infertilidade.
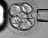
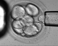
Com o método tradicional para obter células estaminais, os cientistas usam embriões que se desenvolveram durante cinco a seis dias, até serem uma minúscula bola com cerca de uma centena de células. Com o novo método, usam-se embriões bastante mais imaturos, com apenas oito células. É colhida apenas uma, que é cultivada em laboratório. O embrião não precisa de ser destruído - pode continuar a desenvolver-se até termo da gravidez, se for implantado no útero de uma mulher.
Já se usa esta técnica no diagnóstico pré-implantatório, através do qual se procuram seleccionar embriões saudáveis, livres de doenças genéticas causadas por mutações num único gene. Os embriões são criados em laboratório, através da fertilização in vitro, e quando têm cerca de oito células é-lhes tirada apenas uma célula, para testar o seu ADN. Se o embrião for saudável, pode ser implantado na mãe e continuar a desenvolver-se como se nada fosse.
Os cientistas testaram as culturas de células criadas com este método e confirmaram que têm as marcas químicas da pluripotência - são capazes de se diferenciarem nas células das três camadas iniciais que constituem um embrião. Poderiam, assim, ser usadas para produzir um vasto leque de tecidos.
O objectivo final destas experiências é tentar obter células com menos problemas éticos do que actualmente - e que fazem com que nos Estados Unidos não seja possível investigar o seu potencial terapêutico usando dinheiros públicos. Só são autorizadas experiências que usem financiamento privado.
Já este Verão, o Presidente George W. Bush reforçou a sua objecção a estas experiências, ao não ratificar uma lei aprovada pelo Senado no sentido de liberalizar as regras de investigação sobre células estaminais.
A Advanced Cell Technology é uma empresa, mas não cotada em bolsa. Apesar de ter um papel importante nesta área há vários anos, nunca conseguiu capitais privados suficientes para se lançar neste tipo de investigação em grande escala. Por isso tem-se empenhado na busca de métodos eticamente mais aceitáveis para prosseguir as experiências, na esperança de conseguir financiamento público ou de ajudar a criar um mercado, eliminando pelo menos algumas preocupações morais.
"Precisamos de dar um empurrão a este sector, que tem sido seriamente afectado por falta de financiamento", disse Lanza, citado pela revista New Scientist. "Esperamos que este trabalho permita resolver o impasse político, e conquistar o Presidente, uma vez que com este método não é preciso destruir embriões", comentou.
Ainda assim, o método pode suscitar algumas objecções, tal como há quem se oponha ao diagnóstico de pré-implantação. A principal crítica mencionada é a possibilidade de cada célula de um embrião, nessa fase tão imatura, poder dar origem a um novo ser vivo.

Comentários